С синеязыким сцинком что-то не так, болеет?


Новенький





16 3
Ukraine Kiev
8 г. назад
С синеязыким сцинком что-то не так, болеет?
Добрый вечер, ситуация такая, месяц назад купила синеязыкого сцинка и, как мне кажется, он болеет. Только я не могу понять чем.

Типули любящие писать быстрее ведите к врачу вы плохой хозяин и все такое проходим мимо, врача у меня в городе нет и если вы не можете посоветовать ХОРОШЕГО герпетолога в восточной украине то нечего и начинать дискуссии.

Если кто знает толкового герпетолога который может проконсультировать онлаин мне очень нужны контакты. Анализы, рентген, узи, да что угодно, все могу сделать, но надо что бы кто-то на все это смотрел и сделал выводы. О единственном герпетологе в Харькове же такие отзывы, что Багетик дольше проживет при отсутствии лечения.

Багетик, годовалый синеязыкий сцинк о котором определенно не заботились, я поняла это в первый же день после покупки когда стая клещей пробежала по его спине. За три недели мы от них вылечились,первую неделю так сказать не жесткими средствами(ванны 2 раза в день, в ручную вычищали клещей из-под чешуек, постоянная чистка контейнера, ванны в масле, обмазывание антисептическими мазями), а когда раны от крупных особей зажили(их было много, по этому сразу не перешли к химии) обработались средством от клещей.
Проблема решена, он стал активнее, полинял, аппетит здоровый. Неделя прошла на ура и все было хорошо.
Но последнюю неделю я стала замечать за ним странное поведение, он стал часто изгибаться, как будто его что-то беспокоит. Стал часто сидеть приоткрыв рот. Несколько раз (3-4) за неделю кашлял как будто подавился или задыхается, но это быстро проходило, думала действительно давится. Вчера весь день вообще все было хорошо, но сегодня он стал агрессивным, снова кашлял, но на это раз после кашля, на 2 минуты примерно, дыхание сопровождалось щелканьем. Аппетит все так же здоровый, но ему явно плохо, не дает к себе прикоснуться, сразу бросаться атаковать, а до этого был ручной паинькой.
С витаминами, чистотой, отоплением, и рационом все нормально, у меня есть еще один сцинк который отлично себя чувствует при таких же условиях.

Я согласна с тем, что стоит показать его врачу, если кто-нибудь с этим поможет буду только рада, а пока может кто-то узнает проблему по симптомам.
2018-07-01 добавлено 01/07/2018 22:42:07#467928

Новенький





16 3
Ukraine
8 г. назад
Что было дальше
Поскольку никто ничего не написал, я сама расскажу, что было дальше, может это кому-то поможет. Мы нашли молодого врача в Харькове, к нему и обратились через два дня после этой темы.
Первое, что нам объяснили - ящерицы не кашляют, у них нет диафрагмы и поэтому кашлять они не могут. То, что я восприняла как кашель - это спазмы и попытки срыгнуть.
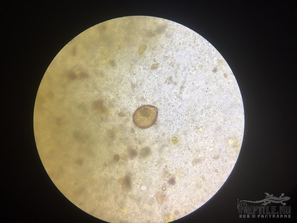
Сразу сделали рентген, легкие чистые, по рентгену все отлично. Ссылаясь на содержание следующее, что исключаем - глисты. Нужен был кал на анализ, его мы ждали 5 дней. Как я уже сейчас думаю резкая смена поведения на агрессию была из-за запора, ибо через пару дней после посещения ветеринара поведение вернулось в норму, а из лечения все что он получил - это два куба вазелинового масла в рот. И так гавешку он нам предоставил, анализ, есть яйца глистов. Травим Рептилайфом, через две недели еще раз, сегодня поедим сдавать кал на анализ.
Попутно, у меня есть еще один сцинк, у которого начались теже спазмы/попытки срыгнуть. Ей мы тоже травили глистов одновременно с Багетом, но чисто для профилактики, никакой симптоматики к этому располагающей не было, кроме наличия яиц в кале, но они ей никак не мешали.
Сейчас думаю, что во всем виноваты мраморные тараканы, это все началось примерно когда я их приобрела. Для кормления выбирала крупных особей, все с крыльями были, может они плохо перевариваются. Но это так, мои догадки, посмотрим, что скажет сегодня ветеринар. Тараканов пока убрала из рациона, недель не кормлю.

Так же после того, как мы потравили глистов, я решила полностью перейти на замороженный корм. Всех тараканов и сверчков перед тем как давать рептилиям я заживо замораживаю на несколько дней. Холод убивает яйца глистов. В обычной морозилке холодильника так, что бы наверняка, на это уйдет неделя. У меня стационарная морозильная камера, в ней -30, при такой температуре достаточно 1-2 дня. Вообще пишут, что за 3 часа должны умирать, но мне не жалко, пусть хоть неделями там лежат.
2018-08-04 добавлено 04/08/2018 14:04:17#468541
Нравится Moderator

Постоянный посетитель





1682 530
Russian Federation Khimki
5 г. назад
wolframmi

А можете дать контакты харьковского врача, на будущее для других пользователей из ваших мест?
2018-08-04 добавлено 04/08/2018 17:01:23#468543

Новенький





16 3
Ukraine
8 г. назад
Moderator
Не уверена, что правильно давать его личный мобильный, но найти его можно так: Его зовут Евгений, работает в клинике Дружочек на Холодной горе. Клиника круглосуточная, записаться можно в любое время. Сайт клиники: http://drugochek.com...
Просто скажите: Мне нужно записаться к герпетологу Евгению.

Кстати кому интересно вот рентген и видео симптома(«кашля»).
https://www.instagra...

На сегоднешний день наша проблема еще не решина, позже еще отпишу по мере развития событий.
2018-08-04 добавлено 04/08/2018 20:43:10#468545
Нравится Moderator

Новенький





16 3
Ukraine
8 г. назад

Пришли результаты повторного анализа кала. Колбаска - число, Багетт - все еще есть яйца глистов.
Решили дать еще одну дозу Рептидайфа(третью). Получается у нас 3 проглистовки с интервалом в 14 дней каждая. Снова мою террариум с Экоцидом. После второй дозы в тот же день террариум был помыт с Экоцидом. Я делаю дозировку 50г на пол литра, отпыркиваю весь террариум, жду 15-20 минут. Все вытираю салфетками до более мение сухого состояния. Затем опрыскиваю средством для мойки окон, смываю его мокрой тряпкой. Затем еще раз мою с чистой водой и насухо вытираю. При таком раскладе можно помыть террариум за час-полтора и вернуть животное обратно. Это совершенно не такой способ как описан в инстукции, дозировка намного большая, будьте аккуратны с этим, у меня отношения с этим препаратом нормальные, но в описании им нельзя дышать и трогать даже при 1% растворе.
2018-08-05 добавлено 05/08/2018 22:30:28#468565
Нравится Moderator

Постоянный посетитель





276 14
Ukraine Kiev
5 г. назад
wolframmi

Где связь, между мраморниками и глистами?
Вы бы узнали, чем его до вас кормили? Может улитками и кузнечиками с огорода - 100% вероятность с глистами.
2018-08-05 добавлено 06/08/2018 00:12:22#468567
Нравится wolframmi, Moderator

Новенький





16 3
Ukraine
8 г. назад
То, что глисты есть и так понятно по анализам.
Мрамарники к глистам никакого отношения может не и имеют, я вообще-то такое и не писала. Новые Мраморные тараканы - единственное общее между моим здоровым сцинком который начал кашлять и новым сцинком. Они сидет раздельно, не знакомились. По этому я предположила, что причина в них.
2018-08-06 добавлено 06/08/2018 15:38:59#468580

Создать новую темуБыстрый ответ